
顎関節症関節円板に穴がとは、顎関節に対する負担が咬み合せなどにより、バランスを崩して強くなった場合に、関節円板がずれたり、開いたりすることによって進行する病気です。さらに骨と骨がこすれあうようになると、顎の骨が磨り減っていくく病気です。
咬み合せが悪いことでバランスが悪くなり、硬いものをこすりあわせると関節と関節の真ん中にあるクッションが潰れてしまい、顎の骨が一番柔らかいのでそこに負担がきてしまいます。
膝にもクッションの役目をするお皿がありますが、そのお皿のようなものが顎にもあり、そのお皿を「関節円板」と言います。この関節円板がずれたりすると顎の音がカクカクとしだします。
さらにこの関節円板の穴が大きくずれ、穴が開くことで顎の骨と頭の骨がこすれあってジャリジャリとする音に発展することがあります。関節円板が完全にずれたり、ひしゃげたりするとカクカクという音がしなくなってきます。そこまでいくと、口を開けようとしても関節円板がひっかかって顎の動きを邪魔します。
口が開きにくくなったり、口が開いたまま閉じられなくなったりするのは、こんな状態になってしまったことが理由です。カクカクという音がしなくなったからといって「治った」ということではなく、さらに進行していたということはよくあります。
顎関節症は顎の骨が溶けていく病気です。
溶けた骨を再生することができないので、生涯予防し続けなくてはいけないものです。
お痛みがなくなったから、症状が感じなくなったから治療が終わりというものではありません。
通常「顎関節症」のご相談をされた場合、ほとんどの医院さんでは次のような対処をします。
問題点:
本来マウスピースを使用する目的は顎関節に対する負担を軽減するため、咬み合せによる関節炎のバランスを整えるためマウスピースを使用します。
やわらかい素材のマウスピースを使うことによってクッション的効果が得られるので、関節への負担が軽減されますが、顎のかみ合わせによる左右の動きを軽減することはできず、上あごにつけるタイプしかありません。
また、やわらかい材質がゆえに、舌にふれる部分が大きく患者さまの違和感が大きいことも特徴です。
実際長期間使用しないといけないにもかかわらず、その不快感から使ってもらえないことが現実です。
硬いマウスピースではそのようなことも含めて可能です(自由診療)。
硬いマウスピースであれば、上につけるものも下につけるのもの作ることができます。
上につけるか、下につけるかはその患者さまの咬み合せで決まるのですが、柔らかい材質のものは下につけるものを作ると強度的に困難なため、上にしかつけることができません。
「顎関節症」、顎のお痛みなどのお悩みでお越しになられた患者さまにはまず、なぜそうなったのか?という原因から探していくことがもっとも大切です。
顎関節症になる原因としては次の5つが考えれます。
上記の(1)〜(4)の原因のうち、全ての原因が当てはまる場合もあり、また親知らずだけが原因だったという場合もあります。原因を探るためには歯科医師が、顎関節症が起こる原因を正しく理解していなければまともな診断をすることができません。
診断が変わればその後の治療も変わってきます。
この部分の治療を実際に受けられる患者さまにご理解頂けないと、どんなにいい治療をしても原因を取り除かなくてはまた同じ症状が出てくるという悲しいことになってしまいます。
顎関節症は、よく高齢の方が「膝が痛い」「お皿が痛い」「骨と骨が擦れて痛い」と言っているような症状が顎に起こっているものとお考え頂ければと思います。一時的に症状が和らいだといってマウスピースをはずして通常の生活を開始すると、さらに進行していってしまいます。
顎の骨の再生はできませんので、顎関節症は完治するということはあり得ません。
ただ、症状が軽くなった、または、感じなくなったというだけであり、完全に治るということは顎関節症にはないとお考え下さい。
きちんとしたマウスピースを作製し、毎日装着し、顎の骨がこれ以上、溶けて磨り減っていくのを予防し続ける、という考え方です。定期的に歯科医院に通い、顎の骨のレントゲン写真を撮影し、顎の骨の長さ、形態の経過を定期的に追っていくことがとても大切です。
ほとんどの医院さんでは、症状がでなくなれば「治った」となりますが、本来はこういう考え方が正解です。
過去には外科手術が多く行われていましたが、半数以上が再発したため、今では重症の方のみとなっています。
吉本歯科医院では、顎関節症の患者さまには「その原因は何か?」というところから探ってまいります。
顎関節症になる原因には下記の4つがあります。
上記の(1)〜(4)の原因のうち、全ての原因が当てはまる場合もあり、また親知らずだけが原因だったという場合もあります。
大切なことは、「なぜそうなったか?」ということをきちんとご説明したいということです。
この部分を治療を実際に受けられる患者さまにご理解頂けないと、どんなにいい治療をしても原因を取り除かなくてはまた同じ症状が出てくるという悲しいことになってしまいます。
「顎関節症」、顎のお痛みなどのお悩みでお越しになられた患者さまにはまず、なぜそうなったのか?という原因から探していくことがもっとも大切です。
歯科の治療で最も重要なのは、噛み合わせ(咬み合わせ)です。専門的には、咬合(こうごう)と言われています。
吉本歯科医院ではお越しになられる患者さまに対して「噛み合わせ(咬み合わせ)が歯科治療においては最も大事なんです。」と、開業以来お伝えしております。
しかしこの「噛み合わせ(咬み合わせ)ということが、最も歯科治療に大事だ」ということに全く気づいていない、そして噛み合わせ(咬み合わせ)を全く無視し、虫歯治療の際に安易に歯を削ったり・・・というのが通常の歯科医院では行なわれています。
虫歯治療で噛み合わせ(咬み合わせ)の高さが崩れ、そのことが原因で歯並びがどんどん悪くなっていく、ということも普通に行なわれています。そのことが原因で皮肉にも「顎が痛い」という症状を引き起こしている場合も少なくはありません。
また、噛み合わせ(咬み合わせ)の重要性は認識していても、実際に噛み合わせ(咬み合わせ)をきちんと出来る方は、ほんの少数です。
例えば、よくあるご相談です。
「上の前歯が前に飛び出ているので治して欲しい」といった場合です。
通常であれば、出ている前歯だけを引っ込めようとその部分だけを矯正治療なりを行い、計画を立てます。
しかし、吉本歯科医院でのアプローチは全く違います。
「なぜ前歯が飛び出てきたのか?」という問題点をまず探ります。
前歯が出てくる方の場合、多くは、その咬む相手となる下の前歯との噛み合わせ(咬み合わせ)が悪い、ということが原因になっています。
ですので表に出ている前歯を引っ込める治療を行う場合には、必ずその相手となる下の前歯との噛み合わせ(咬み合わせ)をきちんと治してから主訴の治療に移ります。
その根本の原因となる「噛み合わせ(咬み合わせ)」を考えずに治療をはじめてしまった場合、どういうことが起こるかというと
といったことが起こります。
実際、よくよくお聞きすると、噛み合わせ(咬み合わせ)を良くすることで、楽になった。目覚めが良くなった。奥歯でよく噛めるようになった。と言われる方が多くいらっしゃいます。
いろいろな歯科医院で治療をされ、吉本歯科医院へ辿り着いた、という患者さまから、「なぜ、吉本歯科医院での治療はちゃんと治っていくんですか?」と質問されることがよくあります。
その答えは、「噛み合わせ(咬み合わせ)をキチンとする」ということを全ての治療の基本にしているから、なのです。
こんな経験はありませんでしょうか?
例えば、合わない入れ歯があります。
歯医者さんに行って、先生にちょちょっと入れ歯を削ってもらう。
しかし、一向に入れ歯は合うどころか良くはならない。
良くならないどころか、だんだん悪く、がたがたになっていく・・・
噛み合わせ(咬み合わせ)が悪いことでお悩みになっていらっしゃる患者さまは「咬めない」「痛い」「おいしくない」ということを、ご自身の身でもって日々実感しておられます。
ですので私が治療の際に、「重要なのは噛み合わせ(咬み合わせ)なんですよ。」というと、
「おっしゃるとおりです」と本当にストレートにご理解くださいます。
歯の「噛み合わせ(咬み合わせ)」と言うと、上と下の歯の当たり具合と思っている方も多いと思います。
また歯科医師ですらそのように理解している先生も多くいらっしゃいます。
しかし、「良い咬み合せ」とはお口を開けて頂き、表面上の歯だけを診察しても判断が付かないものなのです。
顎というのは、頭蓋骨に対して固定されることなくぶら下がっているものです。
体の動きに対して体の重心を整えるための「振り子」のような役目をします。
顎は体の中で左右に渡ってぶら下がっている唯一の器官です。
つまりここがおかしいと全身のバランスを崩してしまう、ということが起こります。
「良い咬み合せ」とは簡単に言いますと、顎の関節のいい状態で上下の歯がキチンと咬み合い、また前後左右に下の顎を動かした時に顎関節に無理な力がかかることなくスムーズに動ける状態のことを言います。
つまり下顎がちょうど「振り子」のように動けるようになっていることが必要です。
吉本歯科医院では、こういったことを治療の基本にし、当院で行なう治療の全てを「良い噛み合わせ(咬み合わせ)」を考慮しながら治療計画をたてております。
「顎関節症」で、お悩みの患者さまの原因は必ずしも一つであることは少なく、「親知らずと歯周病」「咬み合せ」「歯周病で奥歯がない」、など患者さまによって原因はさまざまです。
まずはお口の中を実際に診させて頂き、パノラマレントゲン写真などで患者さまの顎の骨の状態まで確認させて頂きます。それぞれの原因によって原因除去、もしくは、現状維持、悪化の遅延を目的に治療方針を患者さまとご相談しながら行なってまいります。こんにちは。吉本歯科医院のカウンセラー森下はるみです。
顎関節について分り易くお話させて頂きますね。
まず下記のAさんのレントゲン写真を見てみましょう。
レントゲンの黄色い◯部分が顎関節です。
左右の黄色い部分の骨の形、大きさの違いが分ると思います。
左に比べて右が細くなっています。
人間の身体はだいたい、左右対称にできています。
両手足をみても左右対称ですよね。
顎関節も正常な方は左右の長さ、形がだいたい同じです。
では、なぜこのように左右が違ってくるのでしょう。
この患者さまに対する院長、吉本の診断は次の通りです。
「噛み合わせ(咬み合わせ)」と「右上奥歯ぐきの中に埋まっている親知らず」
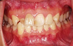
Aさんの口腔内写真です↑
吉本歯科医院では、院長の診断により、まず親知らずを抜いて全体の噛み合わせ(咬み合わせ)のバランスを
診ます。その後、矯正治療か、マウスピース治療が必要であると考えます。
歯の形、大きさは前歯、奥歯、犬歯と噛む機能によって決まっています。
必要があてその場所に生えているわけです。
歯の形、咬み合わす場所、歯の向きにはそれぞれ意味があります。
これらのバランスが崩れた時、顎に負担がかかり、顎関節の症状が出てきます。
では、顎関節症の症状とは?
などがあげられます。
吉本歯科医院での顎関節の治療法は
1.咬合改善
モノを噛む時、歯は上下にカチカチと噛むだけでなくギリギリとすり合わす動きをします。
歯には山、谷、と高い部分と低い部分があります。 生えたばかりの歯にはこの山、谷がしっかりありますが長年使っていると高い部分が磨り減ってきます。お年寄りの方で歯がしっかりとある方はこの自然なすり減りが全体的にみられます。
歯並びが悪いと、正常に噛めず歯の山の部分同士が当たるので、それ以外の歯は左右、後方へと無理にずれていくので知らないうちに顎関節に負担がかかてきてしまいます。
まずは噛み合わせ(咬み合わせ)を治すことが大事になりますが、そこまでしなくても全体的に噛み合わせ(咬み合わせ)の調整をすることによって改善される場合もよくあります。
正常な噛み合わせ(咬み合わせ)にすることで、顎へのバランスがよく加わります。
2.マウスピース療法
夜寝る時に、マウスピースを歯に装着します。
就寝時は日中よりくいしばりが強く、上下の歯同士が強くあたっています。
マウスピースを入れることにより歯の当たりを和らげ顎への負担を軽減します。
でも、顎関節をレントゲン写真で「ここ」って言われても、よく分らないですよね(−−;)。
それを写真でご説明しますね。
![]() 指で触っているところが顎関節です。開け閉めするときに、動きます。 |
![]() 動くというか、硬い骨が飛び出るような感じが手に伝わります。 |
正常な場合は、左右同時に動きます。顎関節に異常がある場合は、左右がズレて動きます。
自分でも確かめられますので、手を当てて調べてみましょう。
ちょっと専門的になりますが、顎関節の仕組みについてお話します。
顎関節の仕組みについて
顎は頭蓋骨からぶら下がるようにくっつき、上の受け皿と、握りこぶしのような下顎骨の頭があります。
口を開け閉めするとき顎の中では、どういう動きをしているのか、この握りこぶしのような下顎骨の頭は回転滑走するように動きます。
そのとき上の受け皿と下顎骨の頭が直接は触れません。
その間にクッションのような役目をする関節円板という軟骨がありますこの関節円板があるので顎はスムーズに動くことができているのです。
そこで、噛み合せが悪いと顎の間接にゆがんだ力が加わり、この握りこぶしのような下顎骨が変形し関節円板がずれ、口を開けたり閉めたりする時にカクカク音がしたり、痛みがでる「顎関節症」になるのです。
「噛み合わせ(咬み合わせ)」や「親知らず」が原因で顎関節症の症状がでることは
本当によくあります。
当院では、全ての歯科治療を「噛み合わせ(咬み合わせ)」を基本として診療計画を立てております。
お心あたりのある方はどうぞお気軽にご相談下さいね。