
PMTCとは、プロフェッショナル・メカニカル・トゥース・クリーニング(Professional Mechanical Tooth Cleaning)の略語です。
歯科医院にいる、プロの歯科衛生士が専門の機具・機械を用いて歯垢の除去を行う治療のことです。
専門のトレーニングを受けた歯科医師・歯科衛生士が、歯の表面についた歯垢(細菌の塊)や沈着物を特殊な医療器機を使って完全に取り去った後、歯垢(細菌の塊)の再付着を防ぎ歯の質を強くするためにフッ素を塗布する流れで治療を行います。
歯の病気である、「歯周病と虫歯」の原因のひとつである歯垢を定期的に、専門のトレーニングを受けた歯科医師・歯科衛生士が取り去ることで、普段のブラッシングでは取り去れない部分を綺麗に保ちます。
PMTCによって得られる効果とは?
PMTCは歯や歯肉のクリーニングを専門の器具を使って慎重かつ丁寧に行いますから,痛みを伴わず、とても気持ちがいいものです。その結果として歯科医院は,痛い、怖いところではなく,お口の中が爽やかになり,気持ちいいところであると実感して頂けます。
PMTCは、1971年に北欧のアクセルソン博士により提唱され、日本へは彼の片腕である歯科衛生士ニーストレン女史によって普及され、彼らの手によるPMTCの予防効果の長期的な研究は、現在も続けられています。
【アクセルソン博士 Per Axelson D.D.S., Odont.Dr.】
1960年 王立ストックホルム大学歯学部を卒業
公的医療機関にて障害者歯科・予防歯科に従事
王立イエテボリ大学歯周病学教室にてリンデ教授に師事
1978年 Ph. D取得
カールスタッド市歯科保健センター所長、歯科衛生士学校校長を兼務
予防歯科クリニックを開設
1989〜1998年 イエテボリ大学歯学部予防歯科主任教授
「ミスター ・プリベンション」と呼ばれ、各国の公衆衛生に多大な影響を与え続けている。l979年、彼によって計画され、導入された予防プログラムは、6年後に3歳児の被ウ触率を80%からわずか4%へと引き下げ、現在も講演等で活躍しています。
【ブリギッタ ニーストレン女史 Birgitta Nystrom】
1965年 スウェーデン ボーデン・デンタル・ナース・スクールを卒業1.染出し液を塗る
![]() |
歯垢がどれだけ付いているか、どの部分に残っているかを調べるために 染出し液(ニューツートン)を歯全体に塗ります。 一般には歯と歯の間、歯の裏側が染まる場合が多いです。 |
|
![]() |
染出し液を塗った後にかるくうがいをします。 色が付いていない部分はきれいに磨けているところです。付いている部分は磨き残しがあるところです。 |
|
![]() |
染まっている部分を見ながら歯ブラシの当て方 磨く力加減などお話しいたします
|
2.音波ブラシをあてる
![]() |
ソニッケアー(音波歯ブラシ)でかるく全体を磨きます。 |
|
![]() |
まだ色は残っています。歯と歯の間は専用器具で取ります。 |
3.研磨剤を注入
![]() |
歯と歯の間、歯の付け根に研磨剤をつけていきます。 |
4.歯科用専用器具で磨く
![]() |
歯と歯の間の汚れをていねいに落としていきます。 |
5.細かい部分の汚れをチェック
![]() |
汚れの取り残しがないか、デンタルフロスで 調べます。同時に取りきれなかった歯垢を取ります。 |
6.仕上げペーストで磨く
![]() |
最終仕上げペースト(研磨剤無配合)で全体に歯面を滑らかにし、汚れが再度付きにくいようにします。 |
7.歯肉マッサージ
![]() |
歯肉の代射を促し、健康な歯肉にするため専用のジェルで歯肉をマッサージします。 |
8.フッ素を塗ります
![]() |
お口の中に食物が入ると、お口の中は酸性に変わります。 |
![]() |
PMTCクリーニングに使用する器具、薬剤など |
![]() |
音波ブラシ(ソニッケア) |
![]() |
エバー(世界的メーカーKavo社の61LRを使用しています。通常は回転式になりますが、これはスムーズな上下運動ができ、歯肉を痛めにくい構造になっています。 |

PMTC後の歯磨剤は、研磨剤が入っているものだと歯の表面が荒くなりやすく汚れが付きやすい状態になりますので、当医院では研磨剤が入っていないアパガードリナメルをおすすめしています。再石灰化をし、その結果、むし歯を防ぐ効果があります。
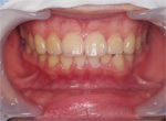
![]() |
PMTC直後のお口の中の写真です。 |
PMTCクリーニングについて
◎費用
1回につき・・・¥12,600(税込み)
2回目以降・・・¥10,500(税込み)
◎所要時間・・・約60分
初診のご来院の患者さまにはPMTC前にカウンセラーによるカウンセリングをお受け頂きますので多少お時間を頂くことがございます。
歯科衛生士という歯科のプロの手による歯のクリーニングです。
通常の生活でついてしまう茶渋やコーヒーなどによる着色、タバコのヤニなど、ご自分では見えにくい歯の裏側など、歯並びが悪い部分にたまりやすいばい菌を丁寧に除去していきます。仕上げには虫歯を予防し、歯そのものを強くするためにフッ素を塗布します。
定期的なPMTCを受けて頂くことにより、歯周病、虫歯にかかるリスクを激減させることが可能です。