
インプラント埋入に充分な骨の厚みや幅がない時に、特殊な膜を用いて、骨を造成させる方法です。
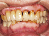
上顎にインプラント治療予定ですが、歯を支える骨も溶けて薄くなってしまっている状態でした。
![]() |
![]() |

Step.1
![]() |
あごの骨にインプラントを埋め込みます。 |
Step.2
![]() |
歯を抜いた部分にインプラントを埋入するが、骨がなく、インプラントがほとんど見えている状態です。 |
Step.3
![]() |
骨のない所に、骨に置きかわっていく補填材を移植します。 |
Step.4
![]() |
骨補填後に、崩れないようにその部分をカバーするように特殊な膜やプレートでおおい、その後縫い合わせます。 |
Step.5
![]() |
6ヶ月後、歯ぐきを開いて膜を取り除くと、骨がなかった所にしっかりと骨が作られ、インプラントが完全におおわれている状態が判ります。 |
Step.6
![]() |
完成写真 |
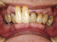
![]() |
この患者さんの歯茎はもうすでに腐り骨は溶けている状態だったので、骨を再生せずにインプラントを行なうと、写真のように歯茎の上の方からインプラントを入れることになり、非常に不自然な完成となってしまいます。 |