


治療前
院長の吉本の診断は以下でした
入れ歯を何年も使っていて、よく噛んでいたために骨の厚みがうすく細くなっています。これでは、入れ歯は安定しません。
本来、骨の中にうまっている神経が骨が溶けることによって歯茎の上から触れることができます。
それが、入れ歯を入れるだけで痛い理由です。


手術後
インプラントを5本入れ当日に仮歯を入れました。仮歯に穴をあけスクリューでインプラント体と固定します。こうすることにより動かない仮歯が作れます。
上の前歯に隙間ができてきてだんだん歯が前に飛び出してきたと来院されました。
写真(1)
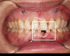
治療前
下の前歯が奥に入っていて前に上に飛び出してきて上の前歯に隙間ができています。
下の歯が上の歯に隠れてしまい、ほとんど見えません。顎を動かそうにも上の歯が邪魔で顎の関節に大きな負担がかかっています。
院長の吉本の診断は以下でした
咬合不全によることが原因
マウスピース矯正、矯正インプラントを行い、全顎的な咬合改善を提案
飛び出ている歯を1本抜いて、歯茎の中にピンを入れました
矯正装置をつけ歯を動かします。インプラント矯正で飛び出た部分を下に下げます。
歯がだいたい動いてきたので、目立たない矯正装置クリアアライナー(マウスピース)を入れます。
ここまでくると矯正終了前です
治療後
下の歯も見えるようになり、楽に顎を動かせるようになりました。