
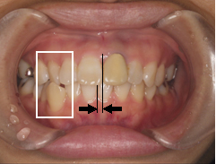
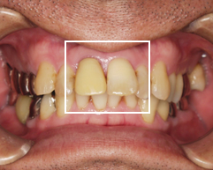
治療前
一見、悪くないようにみえますが、噛み合わせの位置が後方にずれて、低くなったために、前歯に負担がかかり前方に飛び出てきています。(上の前歯が出っ歯になっています)
院長の吉本の診断は以下でした
@親知らずを放置していたことによる歯並びの崩れ
A過蓋咬合(かがいこうごう)下の歯がかぶってしまうくらい上の歯が覆いかぶさってしまっている状態
※親知らずを抜かずに放置している場合に下の前歯が前に上に飛び出てくることがあります。親知らずは生えてくるスペースがないと、すぐ手前の歯を無理に押して出てくることがあります。
また、親知らずが斜めや真横に傾いて生えている場合は、かなり強い力で手前の歯を押してきます。そのことによってドミノ倒しのように健全な歯並びを乱し、健全な歯が揺れだしたり、前に飛び出してくることがあります。
@マウスピースにてどこの咬み合わせの高さが楽に咬めるのかを探す。
Aその高さに合わせて奥歯の被せ物をして咬合を安定させた
B下の前歯の歯肉の位置を下げる外科的治療を行い、上の前歯の被せ物をセラミックにやりかえを行なった。
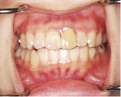
治療前
笑った時に歯のガタガタが目立ち、唇がゆがんで見えます。
うまく上の唇が閉じられません。
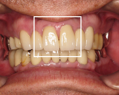
治療後
笑った時に歯並びがキレイです。
唇のゆがみもありません。
歯はわずかですが、常に数ミクロン単位で動き続けています。せっかくきれいに歯並びを戻してもほうっておくとまたずれてくる可能性があります。そのため、 きれいになった歯並びを維持するために専用のマウスピースを作成し、夜間装着して頂くことで、きれいで機能的な歯並びを維持していきます。
吉本歯科医院では、口内写真とパノラマレントゲンを撮影し、まずは顎の骨の状態まで詳しく確認しました。
写真(1)右下1本、歯の噛み合せが反対になっている
治療前
右下、糸切り歯の噛み合わせ(咬み合わせ)が上下逆になっている状態
患者さまご自身は、長年見た目が気になり、治したかったが、目立つ装置をつけるのが嫌でそのままにしてこられました。
しかし、時間が過ぎるにつれだんだんと下の歯が飛び出してきました。
院長の吉本の診断は以下でした
反対咬合、交差咬合いよる咬合不全(噛み合わせ(咬み合わせ)の悪さ)
反対咬合、交差咬合いよる咬合不全(噛み合わせ(咬み合わせ)の悪さ)を改善するために全顎的な矯正治療をおすすめしたところ、ブラケット(矯正装置)を装着しての矯正治療は行いたくなく、また、歯を抜かずに治療をして欲しいとのことでした。
上下前歯の歯と歯の間を、髪の毛数本程度少し削り細くしてマウスピース矯正にて治療。この程度の削る量であれば虫歯になりやすくなったりしみたりといったこともないので問題がありません。
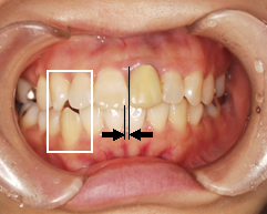
【半年後の状態】
右下の反対咬合が改善され、上下の正中のずれが数ミリ改善されています。
楽に口を閉じると右の糸切り歯が引っかかり、やや右に顎をずらさなければ咬めなかったのが、引っ掛かりが取れ、楽な場所で咬めるようになりました。
歯はわずかですが、常に数ミクロン単位で動き続けています。せっかくきれいに歯並びを戻してもほうっておくとまたずれてくる可能性があります。そのため、 きれいになった歯並びを維持するために専用のマウスピースを作成し、装着して頂くことで、きれいな歯並びを維持していきます。