香川県のインプラント、オールオン4 吉本歯科医院 | 診療案内

無料メール相談
Pick up オールオン4 特設サイト 患者さんからのお便り 吉本歯科医院の「治療の特徴」 歯科医師募集
医院情報

医療法人社団 吉翔会
吉本歯科医院

【所在地】
〒761-0113
香川県高松市屋島西町1968-9
パワーシティ屋島西側

【診療時間】
お電話受付:9:15〜17:30
(日曜・祝日・水曜日休診)

【連絡先】
TEL:087-818-1118

アクセスはこちら

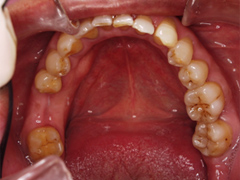
症例03:奥歯がない状態ですごしていた方に接着ブリッジで改善事例

奥歯が1本ない状態のままで放置していた(51歳 男性)−接着ブリッジ

奥歯が1本もない状態のままで放置していた 患者様の事例

吉本歯科医院では、口内写真とパノラマレントゲンを撮影し、まずは顎の骨の状態まで詳しく確認しました。

写真(1)口内写真
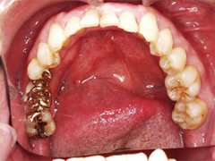
正確な診断

院長の吉本の診断は以下でした

院長の吉本の診断は以下でした

1.奥歯がない状態で過ごしていた期間が長いため歯がない部分に隣の歯が倒れだして全体の歯並びを崩しはじめている

→歯がない状態で過ごしている

初期治療と継続的な治療

1.接着ブリッジ
健康な歯を削る量を最大限に抑え、接着ブリッジを行なう

写真(1)
ページトップへ戻る