
治療前
他医院にて虫歯部分を削り、金属の詰め物をしていた部分の金属をはずしている状態
院長の吉本の診断は以下でした
虫歯治療による2次齲触(虫歯治療した部分に再度バイキンが入り込み、また虫歯になっている状態)
問題点
@虫歯治療をする際に、削った部分をきちんと表面処理をせずに被せ物で蓋をしてしまうとばい菌はまだその部分に残っていますので時間がたつとまた同じ場所が同じように虫歯になってしまうということが起こります。
Aまた、被せ物をする際の接着技術も、きちんとした技術で行なわなかった場合には封鎖しきれずにその隙間からまたばい菌が侵入し、虫歯を再発させてしまいます。
吉本歯科医院で行なう虫歯治療は
・削った部分の表面を薬剤処理することにより封鎖性の高い接着を得ることができます。
・歯の表面を薬剤処理することにより表面のばい菌を殺し、ばい菌の侵入をストップし、装着した部分からの虫歯を防ぐことができます。
・完全に表面処理を行なったことを確認後、すばやく被せ物や詰め物をくっつけます。
・素材の良いものを選び(金属アレルギーに対応、強度があるもの)かぶせ物でふたをします。
@削った部分の型取りをします。
A削った部分に微量の抗生物質の薬品を塗ります(薬で治す治療法®処理)
B削った部分の表面を薬剤によりセメントが隙間なく浸透できるような表面処理を行ないます。
C削った部分に金属アレルギーの心配のないセラミックの詰め物をします。
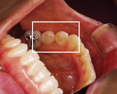
自分の歯とセラミックの違いがほとんど分かりません。
インプラントを5本入れ当日に仮歯を入れました。仮歯に穴をあけスクリューでインプラント体と固定します。こうすることにより動かない仮歯が作れます。
他医院にて接着ブリッジ(自由診療)を行なったが、数ヶ月もせずに折れてはずれてしまった。
接着ブリッジに対する不信感もあり今後の治療を迷っておられ吉本歯科医院にご相談に来られました。
治療前
他医院にて接着ブリッジをしていた部分がはずれている状態。両隣の歯が薄く削られています。
左下1本、歯がありません。
抜けている歯の前後の歯は虫歯にもなっていません。
院長の吉本の診断は以下でした
1本欠損のため、
@インプラント
A接着ブリッジ(削らないブリッジ)
B通常ブリッジ(全面全周削るブリッジ)
C入れ歯(固定式)
Dマウスピースによる夜間の固定のみ
の5つ治療法をご提案しました。他医院にて接着ブリッジを選択したが、数ヶ月ではずれてしまったため接着ブリッジ治療に対して不信感がおありになったのですが、吉本歯科医院の接着技術システムをご説明させて頂き、もう一度、接着ブリッジをしたい、とのご希望がありました。
治療後
すでに他医院にて両隣の歯を削られているため、ほとんど歯を削らずにさわらず接着ブリッジをいれました。
吉本歯科医院の自由診療の接着ブリッジは噛む重圧に耐えられ、歪まない金属を使用特殊な硬質金合金を使用することで,金属厚みを薄くしても歪みで外れたり折れたりしにくくなります。これにより削らないといけない歯の量を減らし,むし歯にもなりにくくなります
この患者さまはなぜ他医院で接着ブリッジで失敗したのか?
その原因は大きく2つ考えられます。
1つ目は、接着技術の未熟さによるもの
2つ目は、安価な金属で作成してしまったため、咬む力に耐えられずひずんで外れてしまった。
実際に何年間もはずれたままの状態であったが削られた歯はごくわずかであったため虫歯になることもなく、機能していたことは不幸中の幸いでした。
(※歯は削った部分は非常に弱くなり、ばい菌が侵入しやすくなります。そのため虫歯にかかるリスクは非常に高くなってしまうのです)