
吉本歯科医院では、口腔内写真とパノラマレントゲンを撮影し、まずは顎の骨の状態まで詳しく確認しました。
写真(1)
治療前歯がほとんどなくなっていて根っこだけの状態
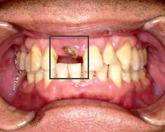
院長の吉本の診断は以下でした
歯周病の進行と舌圧の強さにより、下の前歯が前に飛び出てきてしまい上の前歯とぶつかるようになってきた。そのため咬む力によって歯が欠けてしまっている。
また、歯と歯の間に隙間が拡がってきている。
原因は、歯周病の進行と、舌圧による咬合不全。
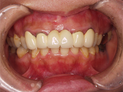
治療後
@下の前歯をマウスピースにて固定。
A根っこの治療を行なったあとコア(歯をささえる土台)を入れる。
Bセラミックの被せ物ををしました。見た目、天然の歯とほとんど変わりありません。
吉本歯科医院の審美歯科は、優秀な歯科技工士の技術により見た目に白い歯を作るだけでなくより自然な歯を再現することができます。「ご自分の歯のように見える」ということが大きなポイントです。
※多くの審美歯科では、前歯一本だけが不自然な白さやツヤ感があり、明らかに「被せ物をしている」という印象になってしまいます。
歯は前後左右で支えあっているので歯と歯の隙間はないように作るのが常識ですが、この患者さまの場合は舌圧が非常に強いため、今後も歯と歯の隙間が拡がっていくことが予想されました。よって、あえて隙間を作り自然な歯の見え方となるような形態としました。
歯はわずかですが、常に数ミクロン単位で動き続けています。せっかくきれいに歯並びを戻してもほうっておくとまたずれてくる可能性があります。その ため、きれいになった歯並びを維持するために専用のマウスピースを作成し、夜間装着して頂くことで、きれいな歯並びと機能性を維持していきます。
吉本歯科は、口内写真とパノラマレントゲンを撮影し、まずは顎の骨の状態まで詳しく確認しました。
写真(1)口内写真
院長の吉本の診断は以下でした
患者さまのご希望の把握ができていないためにこのような不自然な被せ物で治療をされている

歯茎との境目に違和感がなく、ご自分のもともとの歯のように見えています。
同じような自由診療を行なっても、完成にはこのような差がでてまいります。