
前歯が欠けてしまい、他医院にて診断を受けたところ、前歯の全面全周を削り被せ物をすることになったが、他の歯が抗生物質の影響による変色で全体的にしま模様があるため、前歯2本だけ被せ物をすると違和感のある白い歯になってしまうと説明を受けた。
また、神経も取らないといけないと診断されたため、吉本歯科医院へのご相談、治療となった。
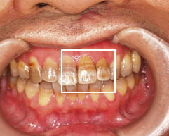
治療前
歯の先端が欠けています。欠けている面だけにプラスチックの詰め物をしても、直ぐ外れることが容易に予想されます。欠けている歯の隣の歯との間に虫歯が大きくできています。
院長の吉本の診断は以下でした
咬合性外傷による前歯欠損
咬み合わせが悪く、上下前歯の切端が強く当たり、かけてしまった。長年前歯が強く当たるのも自覚されていた。
詳しく診断後、神経を取る必要はないと診断
神経を取らずに歯の表面を削ったところ
治療後
左上2本にラミネートベニアを行いました。
優秀な歯科技工士の技術により、全体の色にあわせたベニアを作ることによって天然歯のように自然にみえます。
あえて、新しい被せ物にしま模様を入れています。
全体で見た時に、「自分の歯のように見える」ということを患者さまが強くご希望されました。
つめ爪をつけるイメージです。
他医院にて自由診療の超硬質レジン、ハイブリッドセラミックスにて治療したが歯の色が変色し、歯茎の色も金属のように黒ずんできたのが気になると来院された。
写真(1)
治療前
土台に金属を使用したり、カブセ物の内側(基礎)に金属を使用した場合、数年で金属が溶け出しこのように歯茎が黒くなって体内に金属が吸収されていきます。保険ブリッジや超硬質レジン、ハイブリッドセラミックスは、ツヤがなくなり、色が黄色っぽくなっていきます
院長の吉本の診断は以下でした
金属の芯棒や、歯の裏打ちを金属でしていることにより金属が溶け出しこのように歯茎に金属の色が溶け出して左右の歯茎に色の違いが出てきている状態です。(将来、金属アレルギーになる可能性も考えられる)
また、被せ物に使用している素材がプラスチックのため年月が過ぎるにつれ黄色く変色を起こしてきます。
被せ物にセラミックをしても、心棒に金属を使ってしまえば、金属の色が透けて見た目が悪いだけでなく金属アレルギーが起こる可能性や将来、歯根破折の可能性は非常に高くなります。
吉本歯科医院では、このようなことを考慮し、前歯の心棒にはファイバーコアという材質を使用します。ファイバーコアは金属アレルギーの心配もなく強度にも優れている素材です。
治療後
以前のカブセ物を外し土台にも基礎にも全く金属を使用しないカブセ物にやり変えしました。
入れてから何年たっても歯茎が黒くなることはありません。歯周病で歯茎が下がった場合でも歯が見えることはありますが黒い金属が見えることはありません。
金属を取り除いたので一年程度で歯茎の黒ずみはしだいに消えていきます。
また、左右の歯茎の色が自然な色に戻ってきました。