
吉本歯科医院では、口内写真とパノラマレントゲンを撮影し、まずは顎の骨の状態まで詳しく確認しました。
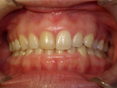
写真(1)
院長の吉本の診断は、以下の2つでした
黒くなった部分はすでに神経を抜いてしまっており、一度神経を抜いた歯は枯れ木のようにもろくなり、色もどんどん黒くなってくる
1.根っこの治療を行う
2.歯の表面を少し削り、ラミネートベニアの被せ物をする
写真(1)完成の写真
前歯2本が不自然にならないよう色や形、微妙な風合いを合わせて被せ物を作っています。
写真(2)ラミネートベニア(被せ物)
写真(3)