
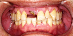
吉本歯科では、口内写真とパノラマレントゲンを撮影し、まずは顎の骨の状態まで詳しく確認しました。
写真(1)口内写真
院長の吉本の診断は以下でした
1.虫歯の進行により、神経までバイ歯が到達してしまっている
2.咬み合わせが悪いことにより、虫歯になりやすい(バイ菌がたまりやすい)
1.根っこの治療を行う
2.心棒をたてる
3.メタルボンドで被せ物
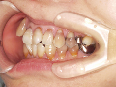
吉本歯科医院では、口内写真とパノラマレントゲンを撮影し、まずは顎の骨の状態まで詳しく確認しました。
写真(1)口内写真
院長の吉本の診断は以下でした
・虫歯の進行により、歯の根っこに膿が出来てしまった
・咬み合わせが悪いことにより、虫歯になりやすい(バイ菌がたまりやすい)
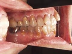
1.根っこの治療を行う
2.歯の表面を少し削りジルコニアクラウンの被せ物をする