
ブリッジ部分が虫歯になり、インプラント治療をご希望されたが、「インプラントをするには前後に隙間が足りず、これではインプラントはできない」「全面全周に歯を削るブリッジでないと難しい」と他医院で診断され吉本歯科医院へご相談に来られました。
写真(1)
治療前
ブリッジ部分が虫歯になってしまった

ブリッジを外したところ
2ケ所にブリッジがあります
院長の吉本の診断は以下でした
ブリッジ部分に虫歯が出来、はずさなくてはならない状態。
しかし、もうこれ以上歯を削りたくないというご希望があり、インプラント治療を希望される。しかし、インプラントを入れるには前後に十分な隙間がないため吉本歯科医院では、インプラントを入れる為に、二箇所の隙間を一箇所に集める部分的な矯正を行い、インプラントが入るスペースを作ってからインプラント治療を行う。
抜けている所にインプラントを入れる為部分的な矯正を行い、隙間を一箇所にまとめインプラントが入るスペースを作ります

治療後
左上奥から2番目がインプラントを埋入しセラミックを入れた歯です。
十分な隙間を作ってからインプラントを行なったので、歯を削ることなく治療することができました。
院長の吉本の診断は以下でした
右上の奥歯と左下の奥歯を失っているので、抜けた部分にどんどん歯が倒れかかっていき全体の歯並びを大きく崩し物を咬めない状態。キチンとかみ合わせる大黒柱がない。
見た目よりも、「ちゃんと咬めるようになりたい」という強いご希望があったので審美性よりも機能性を重視した治療を行う。金属は磨り減らないのでかみ合わせの部分には金属を使用する。
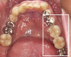
治療前の上の歯
↓
治療後の上の歯
インプラントを埋入後、かみ合わせ部分には金属を使用。
一番奥の歯を金属とし、支えをつけた
治療前の下の歯
↓
治療後の下の歯
インプラント埋入後、セラミックと金属 を使用