
CT画像で見ると骨の厚みが1、2ミリしかなく、通常の10ミリのインプラントを入れればシミュレーションのように鼻の空洞に突き抜けてしまうばかりでなく、強い力で噛んだ時に骨折する恐れがあります。
院長の吉本の診断は以下でした
・入れ歯では合わない、噛めないのは当たり前
・合わない入れ歯を入れているために骨がどんどん退縮していってる
・入れ歯を入れたり入れなかったりするため、歯並びがどんどん崩れだしている
→歯がない状態で過ごしているへ
→入れ歯が合わない噛めないへ
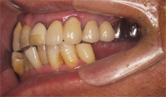
1.インプラント治療(きちんと噛めるように長いインプラントと短いインプラントを組み合わせ治療を行う)
2.マウスピースによる咬合改善維持
3.定期的な予防治療(PMTC)
骨が少なくとも、サイナスリフトという大掛かりな外科手術を行なわずにインプラント治療が実現することができました。
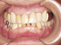
吉本歯科医院では、口内写真とパノラマレントゲンを撮影し、まずは顎の骨の状態まで詳しく確認しました。
写真(1)
院長の吉本の診断は以下でした
・入れ歯では合わない、噛めないのは当たり前
・合わない入れ歯を入れているために骨がどんどん退縮していっている
・入れ歯を入れたり入れなかったりするため、歯並びがどんどん崩れだしている
→歯がない状態で過ごしているへ
→入れ歯が合わない噛めないへ
1.インプラント治療
2.マウスピースによる咬合改善維持
3.定期的な予防治療(PMTC)