
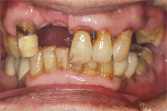
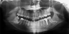
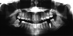
吉本歯科医院では、口内写真とパノラマレントゲンを撮影し、まずは顎の骨の状態まで詳しく確認しました。
(写真(1))虫歯の進行により歯の根っこに膿ができ、歯の周辺の骨まで溶け出している
院長の吉本の診断は以下でした
・虫歯の進行により、歯の根っこに膿ができ、歯の周辺の骨までごっそり溶けてしまい歯がグラグラと揺れだした。
・親知らずを放置していたことにより、健全な歯を横に押し出し全体の噛み合わせ(咬み合わせ)のバランスを崩し、歯並びが悪く、不自然な力で噛み続けていたため歯が揺れだした。
1.歯並びを悪くしている原因のひとつ、親知らずの抜歯
2.グラグラしていた歯を抜歯
3.将来、インプラントを植えられるように骨を作る治療(GBR)
4.骨が再生されたのを確認し、インプラント治療
5.歯並びを正常に戻すためにマウスピースを作製
6.定期的なメインテナンス(PMTC)
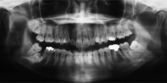
骨が無い部分にGBR(骨再生手術)を行い、インプラントと骨をくっつける
写真(2)
骨が再生されインプラントときちんとくっついている状態の写真です。
食事中に前歯がいきなりグラグラとしだした
食事中に前歯がぐらぐらしてきて、最初のころは、しばらく放っておいたそうですが、しばらくすると、前歯がついに折れてしまったということです。
患者様が吉本歯科医院に来院された時には、その他の歯もグラグラになっている部分があることが診断でわかりました。患者さまの自覚症状としては、「とにかく前歯をくっつけて欲しい」ということでした。

噛み合わせが非常に悪く、上の歯が下の歯にすっぽりと覆いかぶさっておりまともに噛めていない状態であることがわかりました。
院長の吉本の診断は以下でした
・もともとの咬合不全(噛み合わせ(咬み合わせ)の悪さ)による前歯の破折
・歯を支える骨も溶けて薄くなってしまっている状態
1.歯周病の治療(スケーリングによる深い部分のばい菌の除去)
2.インプラント治療(1次手術)骨再生療法
(上顎のインプラントの場合は骨とインプラントが完全にくっつくまで約6ケ月の期間をあける。下顎の場合は約3ケ月)
3.骨がくっついている6ケ月の間に全体の咬合改善(全体に被せ物をし、高さを上げる)
4.6ケ月後、骨とインプラントが完全にくっつき馴染んでから2次手術にて被せ物を入れる(インプラント治療完了)
5.改善した歯並びを維持するためにマウスピース作製
6.定期的なPMTC(予防治療)


GBR(骨再生療法)とは?
インプラント埋入に充分な骨の厚み、幅がない時に、特殊な膜を用いて、骨を造成させる療法。
→詳しくは、こちらへ
隣接する歯と違和感がないようにもともとあった「着色」「光沢」「色合い」を合わせて被せ物を作成したため、歯が見えた時に、まったくご自分のもともとの歯として感じられます。
被せ物は決して白いだけのものがいいのではなく、あくまでも「その患者さまにとって自然にみえる」ということが大切なことです。あえて、歯茎周辺に茶色い着色を入れているのもそのためです。
こういったことは、吉本歯科医院内においてとても重要視していることであり、最先端の知識と精度の高い技術をもった技工士との連携によるものです。