
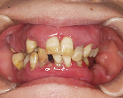
口の中全体の歯茎が腫れ上がっており、ほとんど物がかめないということで来院されました。
写真(1) 全体的に歯肉がはれている、歯ブラシをすると血と膿が出ていて口臭もする
治療前
全体に歯茎が腫れ上がってしまい歯が動いて、噛み合わせが大きく崩れている。
院長の吉本の診断は以下でした
重度の歯周病により、歯を支える骨がほとんど溶けてしまっており、歯がグラグラとなり咬み合わせが大きく崩れている。
家でいう大黒柱が1本もない状態である。
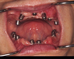
数本を抜かずに数年持たせることは出来るが、10年後には崩れたり他のインプラントに悪影響を及ぼす可能性があり、全顎的なインプラント治療をご提案。

インプラント埋没後
全部の歯を抜き上下とも9本づつインプラントを埋入しました。
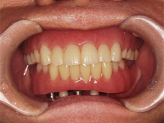
手術から7ヵ月後、一回目の仮歯の状態です。
歯茎の腫れも治まってきました。
まだ歯茎の状態は年々変化していきますので仮歯は数回作り変え、経過を観察後、最終的な固定的ブリッジが入ります。
吉本歯科医院では、口内写真とパノラマレントゲンを撮影し、まずは顎の骨の状態まで詳しく確認しました。
写真(1)口内写真
上下ともに歯がなく入れ歯を使用しているため顎の骨が溶けてしまい歯茎が下がってしまっている。
院長の吉本の診断は以下でした
1.長期間入れ歯を使用していたため顎の骨が溶けてしまい、顎の奥深くにあるべき神経が入れ歯に触れるようになってしまった。
2.このため入れ歯を入れると神経に触りビリビリとした感覚がある。
3.こういう場合、新しく入れ歯を作りかえたとしてもこの感覚がなくなることはない。
(1)下顎にオールオン4インプラント治療を行う
総入れ歯をされていた患者さまの場合は、その入れ歯を使い続けていたことによる骨や歯茎が退縮しやせてしまっている。インプラントを入れても半年間はまともに咬むことができない場合が多い。
手術したその日からまともに食事ができるように手術したその日に仮の歯を入れる。
手術後