
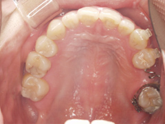
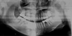
吉本歯科医院では、口内写真とパノラマレントゲンを撮影し、まずは顎の骨の状態まで詳しく確認しました。
写真(1)口内写真
歯周病の進行により、上顎の歯は全て抜歯しなくてはならない状態
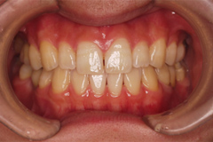
院長の吉本の診断は以下でした
・歯周病の進行により歯を支える骨が溶け、歯がグラグラになってきた
・もともとの咬み合わせの悪さ
・合わない総入れ歯を入れていたため骨が退縮している
(1)オールオン4インプラント治療を行う
総入れ歯をされていた患者さまの場合は、その入れ歯を使い続けていたことによる骨や歯茎が退縮しやせてしまっている。インプラントを入れても半年間はまともに咬むことができない場合が多い。
手術したその日からまともに食事ができるように手術したその日に仮の歯を入れる。
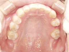
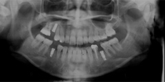
写真(1)
(2)定期的な予防治療(PMTC)
口内写真とパノラマレントゲンを撮影し、まずは顎の骨の状態まで詳しく確認しました。
写真(1)
院長の吉本の診断は以下でした
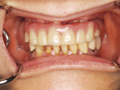
・歯がない期間が長く続いたため隣の歯が横に倒れてしまい、歯と歯との間に隙間が2ケ所できてしまっていた。
1.矯正治療で隙間をなくす}
2.インプラント治療
3.マウスピースによる咬合改善維持
4.定期的な予防治療(PMTC)

歯がない期間が長く続いたため隣の歯が横に倒れてしまい、歯と歯との間に隙間が2ケ所できてしまっていたため、インプラントの前に矯正治療で隙間をなくす治療を行う